短期間で脂肪を減らす効果が高い〈齋藤式満腹やせメソッド〉を50代が3週間挑戦!脂肪の量、どう変わった?

OuragexWebeclat

更年期以降につきやすくなり、生活習慣病の原因になるのが内臓脂肪。今回は3週間〈齋藤式満腹やせメソッド〉に挑戦し、脂肪や体重を落とすことに成功した3名のデータをご紹介します!

【教えていただいた方】

齋藤真理子さん
齋藤真理子さん

医学博士。日本形成外科学会専門医。分子栄養学認定医。医療法人社団山本メディカルセンター理事長。2010年に同センターに入職し、皮膚科・形成外科を立ち上げる。アンチエイジング分野にも取り組み、メディカルエステ、ドクターズコスメなどの開発・販売も手がける。2016年山本メディカルセンター2代目院長に就任。

〈齋藤式満腹やせメソッド〉に挑戦した3名、全員が体重や脂肪の量を落とすことに成功!

〈齋藤式満腹やせメソッド〉は、齋藤真理子先生が提唱する、内臓脂肪を効果的に落とせる方法。このメソッドは、
①MCTオイル生活
②満腹フードを使ってラクに糖質を減らす
③戦略的間食をとる
という3つを柱としています。

齋藤式満腹やせメソッドを詳しくチェック

このメソッドを取り入れて、齋藤先生自身、1カ月で体重−3kg、脂肪面積−16.47㎠に成功しました。このメソッドを3週間実践した3名のモニターの変化を公開!まずご紹介するのは、夫婦で〈齋藤式満腹やせメソッド〉に挑戦した二人。

「こちらの50代のご夫婦は、〈齋藤式満腹やせメソッド〉のほか、パタパタストレッチなどの運動も取り入れていたそうです。極端に制限するダイエットではないので、続けていてつらくなく、無理なくできたとおっしゃっていました」

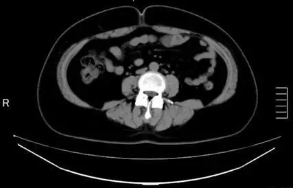
3週間で、体重−1.2kg、ウエスト−8cm!肝機能も改善した50代女性Aさん 

BEFORE

OurAge×Webエクラ BEFORE
OurAge×Webエクラ BEFORE 横
OurAge×Webエクラ BEFORE -2

体重 51.5kg
ウエストサイズ 78.0cm

体脂肪の量
全体 163.66㎠
内臓脂肪 39.55㎠
皮下脂肪 124.11㎠

AFTER

OurAge×Webエクラ AFTER
OurAge×Webエクラ AFTER 横
OurAge×Webエクラ AFTER -2

体重 50.3kg  −1.2kg
ウエストサイズ 70.0cm  −8.0cm

体脂肪の量
全体 177.53㎠ +13.87㎠
内臓脂肪 39.53㎠  −0.02㎠
皮下脂肪 138.00㎠  +13.89㎠

「Aさんは、お酒を飲むのが好きなせいか、肝臓に内臓脂肪がついて脂肪肝になっていました。3週間の〈齋藤式満腹やせメソッド〉チャレンジ中は、メソッドの3つの方法を実践しつつ、飲酒については大きく制限をかけていなかったそう。それにもかかわらず、3週間でウエストサイズが8cm、体重が1.2kg落ちたのは、すばらしい結果。写真でもお腹まわりが明らかにすっきりしています。

内臓脂肪の量としては0.02㎠しか落ちていないものの、飲酒をやめていないのに肝機能がよくなっているのがポイント。今まで脂肪肝として代謝が悪くなっていたけれど、〈齋藤式満腹やせメソッド〉を実践することで肝臓の代謝が上がってきたためだと考えられます。これからさらに結果が出てくると思います。  

体に入ってきた糖のやりくりをしているのが肝臓なので、肝機能が上がって肝臓がきれいになると、糖代謝も引っ張られて上がってきます。今後は、内臓脂肪がさらに減ってきて、それによって血圧も下がってくるはずです」

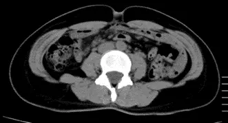
皮下脂肪−10.91㎠、内臓脂肪−0.67㎠、ウエスト−7cm。脂肪肝も改善!50代男性Bさん

BEFORE

OurAge×Webエクラ BEFORE

体重 69.3kg
ウエストサイズ 87.0cm

体脂肪の量
全体 269.05㎠
内臓脂肪 76.88㎠
皮下脂肪 192.17㎠

AFTER

OurAge×Webエクラ AFTER-2

体重 68.3kg −1.0kg
ウエストサイズ 80.0cm −7.0cm

体脂肪の量
全体 257.47㎠   ―11.58㎠
内臓脂肪 76.21㎠ −0.67㎠
皮下脂肪 181.26㎠ −10.91㎠

「3週間の〈齋藤式満腹やせメソッド〉で皮下脂肪が顕著に減ったのがBさん。〈齋藤式満腹やせメソッド〉を実践したことで、皮下脂肪が10.91㎠も減っています。

内臓脂肪も0.67㎠減って、体脂肪全体が11.58㎠も減少。また、血液検査の結果を見ると、肝機能の異常値、特にALT値が、メソッド実践前は54U/Lだったのが、実践後は30U/Lと明らかに改善し、肝臓の脂肪が落ちてきているのがわかります。つまり脂肪肝が改善してきたということ。

さらに、LDLコレステロール値も、143mg/dlから129 mg/dlに下がり、すばらしい結果です。続けていくことで全身の代謝が上がり、ダイエットの成果がいっそう加速していくと考えられます」

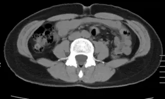
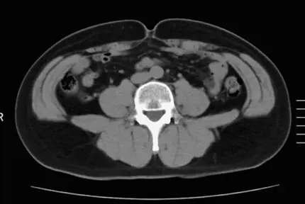
3週間で、体重−2kg、内臓脂肪−14.45㎠、中性脂肪値も高値から正常値に!58歳女性Cさん

続いて、もう一人〈齋藤式満腹やせメソッド〉に挑戦したのがCさん。

「Cさんも3カ月で内臓脂肪が大きく落ち、見た目もすごく痩せられました!」

BEFORE

OurAge×Webエクラ BEFORE

体重 77.0kg
腹囲 103.0cm

体脂肪の量
全体 475.37㎠
内臓脂肪 192.25㎠
皮下脂肪 283.12㎠

AFTER

OurAge×Webエクラ AFTER-2

体重 75.0kg   −2.0kg
腹囲 101.0cm   −2.0cm

体脂肪の量
全体 457.23㎠    −18.14㎠
内臓脂肪 177.80㎠ −14.45㎠
皮下脂肪 279.43㎠ −3.69㎠

「Cさんは、3週間〈齋藤式満腹やせメソッド〉を実践する前に、すでに1カ月間、食事にMCTオイルを取り入れていたそうで、その時点で体重が1.5kg落ちたようです。ですからもともとの体重は78.5kgで、その後〈齋藤式満腹やせメソッド〉を実践して75kgまで落ちているので、体重は3.5kg落ちたということ。

しかも、〈齋藤式満腹やせメソッド〉をそこまで厳密に行ったわけでなく、とにかく、MCTオイルを食事に足すようにしたそう。それだけでも、3週間で内臓脂肪は14.45㎠、皮下脂肪は3.69㎠も減少したので、MCTオイルの効果の高さがわかりますね。CT検査の画像でも内臓脂肪が落ちていることがよくわかります。また、〈齋藤式満腹やせメソッド〉実践前は中性脂肪値が214mg/dlと基準値以上だったのですが、実践後は126mg/dlと正常値になったのもすばらしい変化。続けることで、さらに効果が表れると思います」  

このように、短期間で脂肪を減らす効果が高い〈齋藤式満腹やせメソッド〉。健康への効果も期待できるので、ぜひ取り入れて習慣に。

合わせて読みたい

生活習慣病の原因になる内臓脂肪を落とすには、糖質の量を減らして脂肪燃焼体質にするのがカギ!
2カ月で−6kgに成功した医師が伝授! 勝手に内臓脂肪が落ちていく3つのメソッドとは?
内臓脂肪が勝手に落ちていく決め手「MCTオイル」の驚くべき健康効果、とり方のコツとは?医師が解説!
内臓脂肪が勝手に落ちていく「齋藤式満腹やせメソッド」には多くの健康効果が!その驚きの効果とは?
更年期以降に増えやすくなる内臓脂肪が勝手に落ちていく!?毎日の生活の中でできる内臓脂肪を減らすポイント5つとは?
内臓脂肪を効果的に落とす!1カ月で脂肪面積−16.47㎠、2カ月で体重−6kgを達成した医師が実践していたメソッドとは?
写真提供/齋藤真理子 取材・文/和田美穂
初出:OurAge 2024/11/6

ranking

what's new

pick up

recommend

feature

recommend

人気のヘルスケア記事がWebエクラにお引越し! ウェルビーエクラSTART! eclat Gourmet&Voyage eclat Maison
売れ筋ランキング 150cmエディター 宮崎桃代のシャキッとカジュアル フォトジェニックな黒サンダル ボン マジックのブレスレット&バングル